As screening needs continue to grow, AI medical imaging lung cancer solutions are emerging as a key innovation lever for radiology departments.
With AZnod, its new CE-certified AI tool for pulmonary nodule detection, AZmed demonstrates the ability of French companies to develop robust technologies fully integrated into clinical workflows and designed to sustainably strengthen healthcare systems. This momentum reflects the collective strength of the French AI medical imaging ecosystem, supported by French Healthcare Association.
Lung cancer screening: a major public health priority
Lung cancer remains one of the leading causes of cancer-related mortality worldwide. Prognosis is closely linked to early diagnosis, placing screening programs at the center of public health strategies.
In this context, chest computed tomography (CT) plays a critical role, but it generates an increasing volume of examinations requiring analysis, with high standards for accuracy, reproducibility, and compliance with international clinical guidelines such as Lung-RADS and the Fleischner Society criteria.
For radiology teams, detecting small pulmonary nodules, sometimes only a few millimeters in size, represents a daily clinical and operational challenge. This is precisely where artificial intelligence is now delivering tangible solutions.
AZnod: a French innovation supporting thoracic radiology
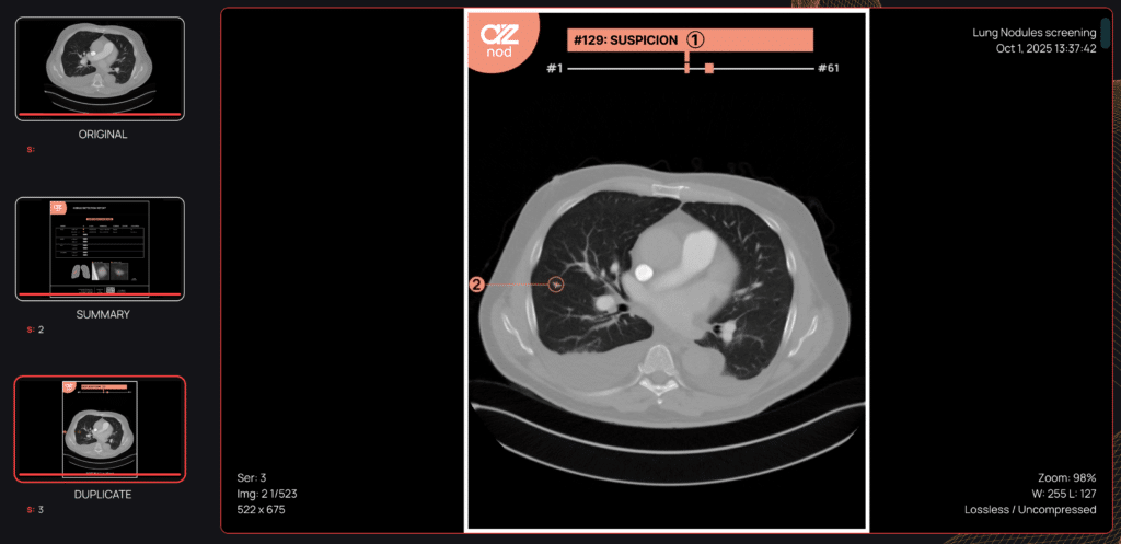
With AZnod, AZmed reaches a new milestone in the development of AI solutions for medical imaging. CE-certified, this tool is the first product in the Rayscan® suite dedicated to CT analysis, complementing the Rayvolve® range already deployed in conventional radiography.
Designed to support lung cancer screening programs, AZnod analyzes the full set of CT scan images to detect pulmonary nodules ranging from 3 to 30 millimeters, regardless of their type (solid, subsolid, or ground-glass). The solution provides standardized characterization, including volumetric measurements, precise diameters, anatomical location, and morphological features, without disrupting existing diagnostic workflows.
By integrating seamless into clinical practice, AZnod helps strengthen the consistency of radiological assessments, a key factor in patient management and longitudinal follow-up.
Learn more about AZMed : www.azmed.co/


Standardization, reproducibility, and efficiency: the operational impact of AI medical imaging
Beyond technological performance, the value of AI medical imaging lies in its operational impact. AZnod generates structured radiology reports, prioritizing nodules based on clinical relevance and providing annotated views and anatomical lung maps to facilitate image review.
In a context of growing pressure on radiology resources, such tools help to:
- improve diagnostic reproducibility,
- reduce inter-observer variability,
- strengthen clinical decision-making,
- optimize physicians’ interpretation time.
These improvements contribute to more efficient care pathways and better use of healthcare system resources.
French AI medical imaging: a structured and internationally recognized ecosystem
he launch of AZnod reflects a broader trend: the rapid development of the French artificial intelligence ecosystem in healthcare, particularly in medical imaging. Driven by innovative companies working closely with healthcare professionals, these solutions combine technological excellence, rigorous regulatory compliance, and deep understanding of clinical practice.
AI medical imaging lung cancer solutions illustrate the ability of French companies to deliver reliable, certified technologies aligned with real-world clinical needs.
Within French Healthcare Association, this ecosystem contributes to positioning French healthcare solutions as trusted partners for healthcare providers worldwide. Member companies address critical challenges including quality and safety of care, access to early diagnosis, healthcare system performance, and implementation of national screening policies.
Strengthening healthcare systems through collaborative innovation
By facilitating the deployment of certified, interoperable AI tools designed for real clinical use, French healthcare companies are supporting a pragmatic transformation of healthcare delivery. AZmed exemplifies this approach: technological innovation not as isolated disruption, but as a continuous improvement lever serving healthcare professionals and patients alike.
Through collaboration, dialogue with clinical stakeholders, and international deployment support, French Healthcare Association plays a key role in accelerating the global adoption of high-impact healthcare technologie